患者様の満⾜度調査を実施しております。
少しでも患者様にとってより良い⻭科医療を提供するため、第三者機関のNPO法⼈ ⽇本⻭科医療評価機構に依頼をし、
患者様の満⾜度調査を⾏っています。
患者様の率直なご意⾒をいただき、改善すべき点は真摯に受け⽌めていきたいと思っています。
当院には患者様の個⼈情報は⼀切伝えられませんので、是⾮、皆様の忌憚のないご意⾒をお聞かせください。
NPO法⼈ ⽇本⻭科医療評価機構の調査結果は以下バナーよりご確認ください。


※⽇本⻭科医療評価機構とは
⽇本⻭科医療評価機構は、ネットで⻭医者を検索してみたが、どこに⾏けばいいか分からない、
診療時間や場所のメリットだけではなく、本当に信頼して通える⻭医者を探したい、
そんな患者様のために本当に信頼して通える⻭科医院を評価・認定することを⽬的とした組織です

歯周病を完治させたい方に
よりよい歯科医療を
歯周病は歯周組織の炎症及び、歯を支える歯槽骨が失われる病気。
しかし、初期症状で痛みが出にくいため、見逃してしまうリスクがあり、治療を始めた時には重症化していた・・・というケースも多く見られます。当院では初期段階での治療を高めることははもちろん、歯周病の過程で失われた歯周組織を回復する歯周外科治療にも対応しているため、重度と診断された方もまずはご来院ください。
その他の診療
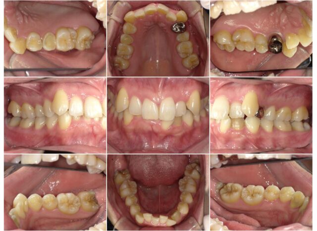
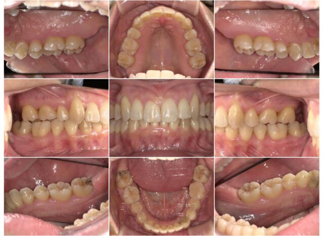
症例紹介

before

after
桜木町ヒロ歯科クリニックについて
桜木町ヒロ歯科クリニックは、JR「大宮」駅徒歩6分の場所で夜19時まで診療しています。
診療は個室診療室をご用意し、滅菌は世界水準の設備で行うことで患者様が安心して治療を受けられる環境を整えています。
治療設備についても、歯科用CT、マイクロスコープ、iTeroなどを導入し、精密で再発の少ない治療提供に努めています。











